【医疗动态】花季少女得肿瘤 微创手术建奇功
2018-12-10 00:00 近日,我院泌尿疾病中心成功为一患者实施了经腹腹腔镜腹膜后巨大肿瘤切除术。该患者为26岁女性,因体检发现右侧腹膜后肿块入院。
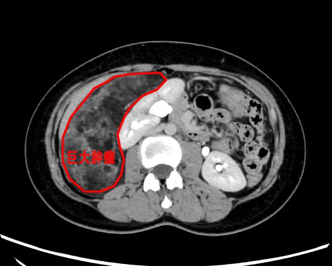
入院后,经增强CT提示右侧腹膜后巨大富脂肪肿瘤,肿瘤上界达右侧膈下,下界至盆腔,几乎占据整个右侧腹膜后间隙,考虑为血管平滑肌脂肪瘤。尽管该肿瘤为良性肿瘤,但体积如此之大并不常见,如行开腹手术则手术切口可长达30cm以上,对患者创伤大,且术后恢复慢、疼痛明显。鉴于患者为年轻女性,经充分考虑后,我院季惠翔教授、支轶教授决定行经腹腹腔镜腹膜后肿瘤切除术,并制定了周密的手术方案。
术中经过仔细解剖肿瘤、分离肾脏血管,克服空间狭小的腹腔空间,历时约4小时成功切除肿瘤,同时挽救了患者右肾。术中出血仅100ml,最长手术切口约5cm。
腹腔镜手术是近十年新发展起来的微创治疗技术,代表了当今微创外科的发展方向,与开腹手术相比,具有手术视野清晰、操作时间短、切口小、创伤小、术中出血少、术后疼痛轻、恢复快又兼有美容效果等优点,几乎所有泌尿外科手术均可在腹腔镜下完成。该手术的成功开展,标志着我院泌尿疾病中心泌尿外科腔镜技术居于业内领先水平,实现了新跨越。


入院后,经增强CT提示右侧腹膜后巨大富脂肪肿瘤,肿瘤上界达右侧膈下,下界至盆腔,几乎占据整个右侧腹膜后间隙,考虑为血管平滑肌脂肪瘤。尽管该肿瘤为良性肿瘤,但体积如此之大并不常见,如行开腹手术则手术切口可长达30cm以上,对患者创伤大,且术后恢复慢、疼痛明显。鉴于患者为年轻女性,经充分考虑后,我院季惠翔教授、支轶教授决定行经腹腹腔镜腹膜后肿瘤切除术,并制定了周密的手术方案。
术中经过仔细解剖肿瘤、分离肾脏血管,克服空间狭小的腹腔空间,历时约4小时成功切除肿瘤,同时挽救了患者右肾。术中出血仅100ml,最长手术切口约5cm。
腹腔镜手术是近十年新发展起来的微创治疗技术,代表了当今微创外科的发展方向,与开腹手术相比,具有手术视野清晰、操作时间短、切口小、创伤小、术中出血少、术后疼痛轻、恢复快又兼有美容效果等优点,几乎所有泌尿外科手术均可在腹腔镜下完成。该手术的成功开展,标志着我院泌尿疾病中心泌尿外科腔镜技术居于业内领先水平,实现了新跨越。




